Die DNA Fragmentation

Spermien tragen die genetische Information des Vaters in ihrer DNA. Kommt es in den DNA-Strängen dieser Zellen zu Schäden oder Brüchen, spricht man von DNA-Fragmentation. In der Basis Kinderwunschdiagnostik des Mannes wird zunächst ein Spermiogramm erstellt, das Aufschluss über Anzahl, Form und Beweglichkeit der Spermien gibt. DNA-Brüche werden bei dieser Basisuntersuchung jedoch nicht erfasst.

Der DNA-Fragmentationstest kann hier zusätzliche Klarheit schaffen. Dieser Test untersucht die Qualität der DNA im Spermium und zeigt, wie hoch der Anteil der Zellen mit beschädigter DNA ist. Ein erhöhter Fragmentationsgrad kann die Chancen auf eine natürliche Schwangerschaft deutlich verringern. Auch bei Methoden künstlicher Befruchtung wie IVF oder ICSI sinken mit steigendem Fragmentationsindex die Aussichten auf eine erfolgreiche Behandlung und die Entwicklung eines gesunden Kindes.

Die Ursachen für erhöhte DNA-Fragmentation sind vielfältig. Häufig spielen Lebensstilfaktoren wie Rauchen, chronischer Stress, Umweltbelastungen oder Übergewicht eine Rolle. Auch Infektionen im Genitaltrakt oder Krampfadern am Hoden (Varikozelen) können zu einer erhöhten Belastung des Erbguts führen.

Nach der aktuelle Leitlinie der European Association of Urology (EAU) wird die Bestimmung des DNA-Fragmentationsindexes bei Männern mit unklarer Kinderlosigkeit oder nach Fehlgeburten des Paares empfohlen.

Je höher die DNA Fragmentierung, desto geringer ist die Wahrscheinlichkeit der Befruchtung, die Entwicklung des Embryos kann schlechter und die Abortrate höher.sein. 

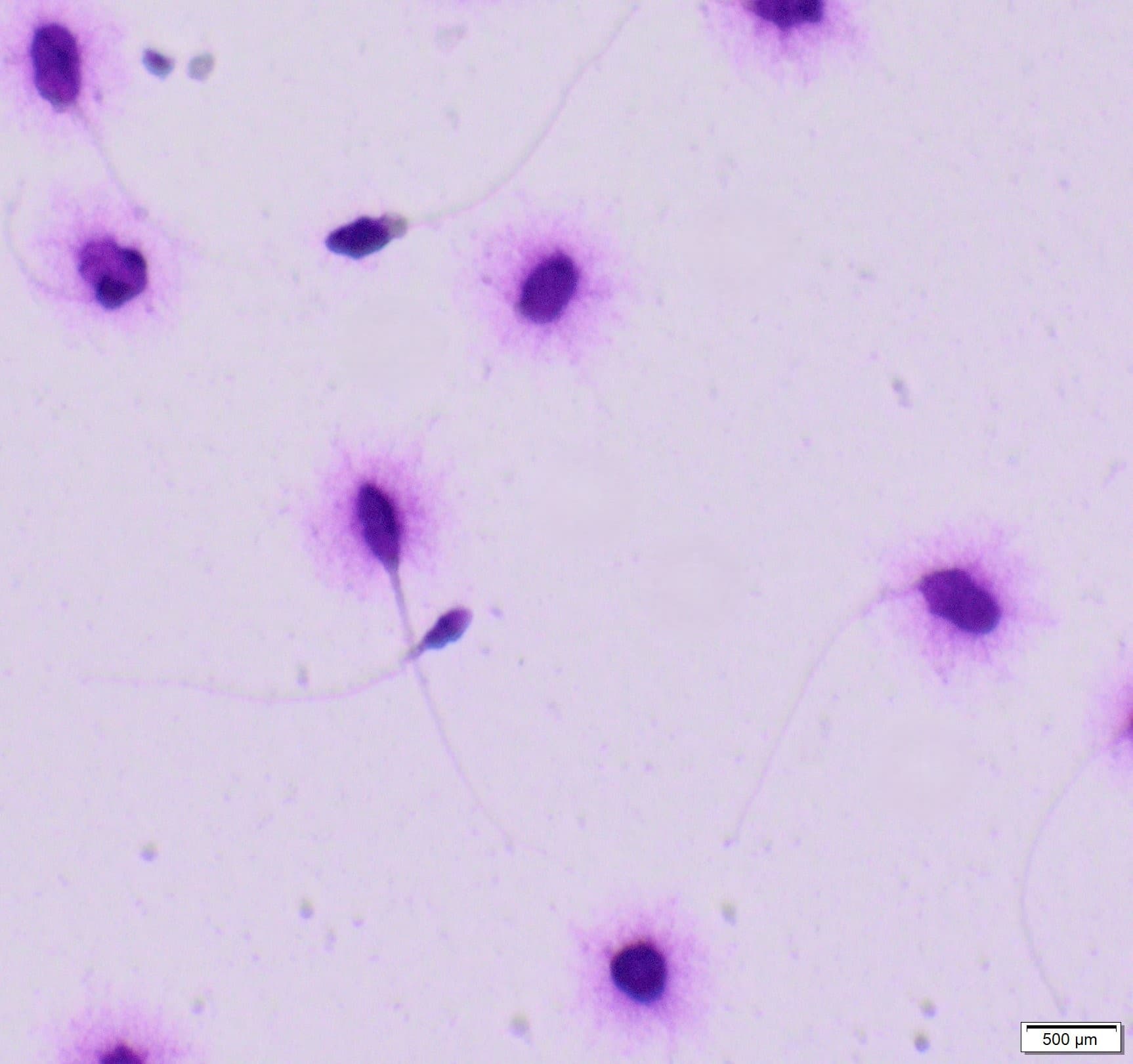
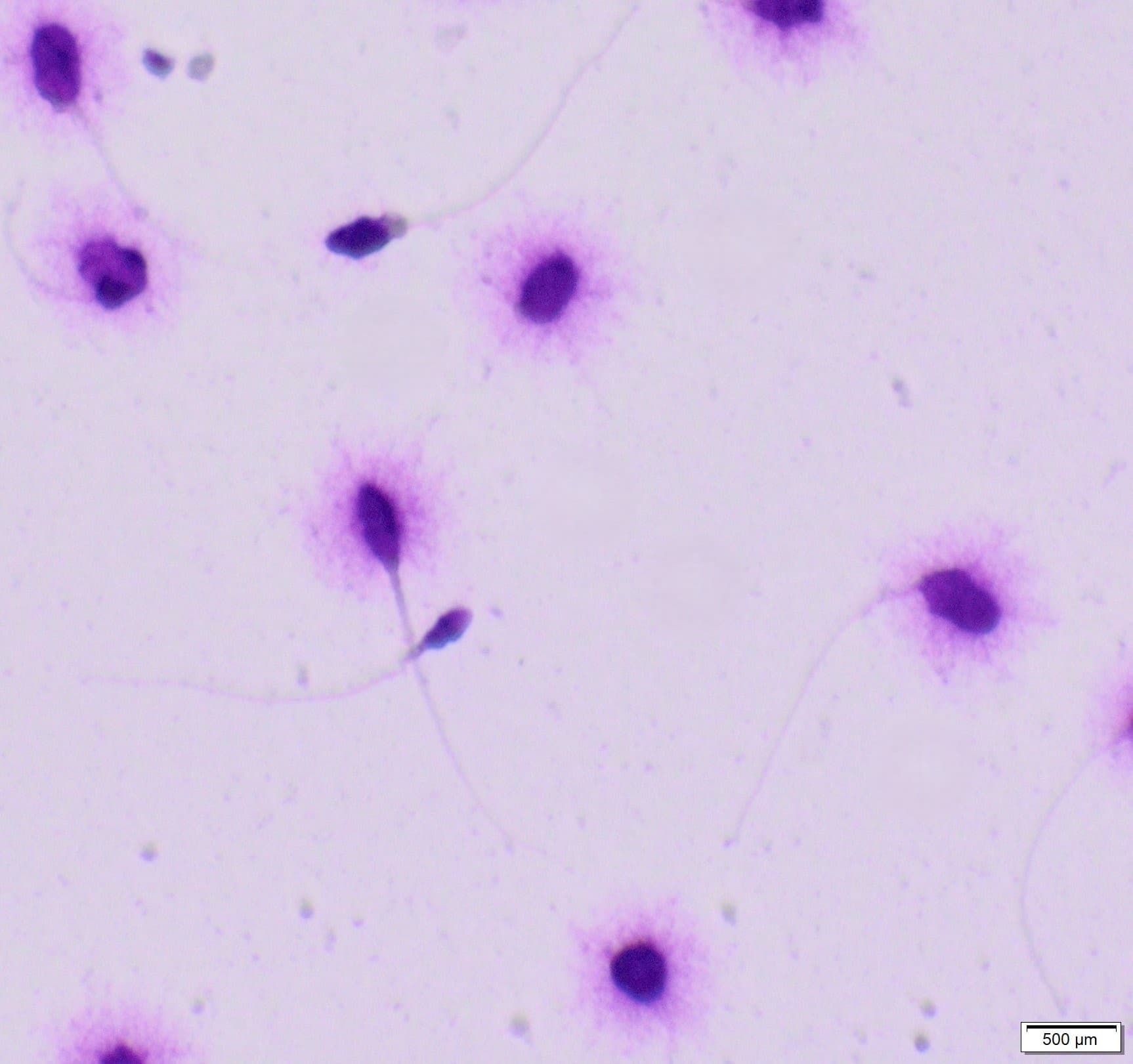
SCD-Test
In unserem Labor wird ein Spermien-Chromatin-Dispersionstest verwendet.

Dazu werden die Spermien mit einer Säure und anderen Verbindungen behandelt, die eine Freisetzung der verpackten DNA-Strukturen bewirken.

Im Mikroskop findet man danach bei Spermien mit intakter DNA Schleifen (Halo) um den Kopf, während bei Spermien mit fragmentierter DNA entweder nur ein schwach ausgeprägter oder gar keinen Halo zu sehen ist.

Es gibt noch keinen internationalen Schwellenwert (Normalwert) für diesen Test.

Richtwerte für den DNA Fragmentationsindex (DFI):

DFI-Wert bis 15%   normal

DFI-Wert von 16 % bis 29 %    eingeschränkte Fruchtbarkeit möglich
DFI-Wert ab 30 %     stark eingeschränkte Fruchtbarkeit

Zur Untersuchung:

Für diese Untersuchung muss die Probe ganz frisch sein. Sie benötigen einen speziellen Termin. Terminvereinbarung nur telefonisch möglich.